慧心巧铸 酷睿不凡
E3便携式彩色多普勒超声诊断系统
E3便携式彩色多普勒超声诊断系统

广告
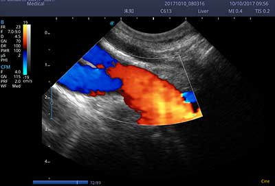
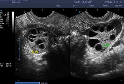
E3便携式彩色多普勒超声诊断系统拥有专业超声技术平台、高度集成化的硬件模块和结构设计、简便的操作流程、支持三探头接口全激活,兼顾了优质图像、轻便机身以及台便两用的临床使用需求。无论在常规超声科门诊检查,还是在急诊、麻醉、ICU、户外等各种应用场景。都能给您带来流程的操作体验。









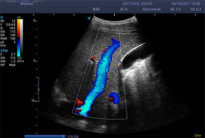
血管内中膜自动测量
频谱自动包络
一键自动优化

禁忌内容或者注意事项详见说明书

微信公众号
0188-22223333
400-800-8820
版权所有 @美狮贵宾会官网 苏ICP备20008866
互联网电子信息服务资格证书[(苏)-非经营性-2002-0888